新闻中心
-
2018年9月11日上午,在深圳大学西丽校区A1-443教室组织开展了首期护理学院临床青年教师讲课大赛。此次大赛是为深圳大学选拔参加2018年全国护理院校临床青年教师讲课大赛的参赛选手,有来自深圳大学医学部护理学院...2018-09-12
-
医学部许兴智教授团队在Nucleic Acids Research期刊揭示DNA修复的新调控机制 近日,深圳大学医学部许兴智教授团队在国际知名期刊Nucleic Acids Research(影响因子11.561)上在线发表了题为“PLK1 targets CtIP to ...2018-09-10
-
2018年9月6日,由广东省高校护理教学指导委员会、广东省护理学会护理教育专业委员会、广东省高校教学管理学会,护理教育管理组共同主办,深圳大学医学部护理学院承办的“护理学类教学质量国家标准解读暨2018年广...2018-09-07
-
主讲人:张金钟教授(国务院特殊津贴专家、教育部医学人文素质教学指导委员会主任委员、中国生命关怀协会副理事长、中国心理卫生协会常务理事),1993年毕业于南开大学哲学系(哲学博士),曾任天津医科大学医学...2018-09-04
-
主讲人:张金钟教授(国务院特殊津贴专家、教育部医学人文素质教学指导委员会主任委员、中国生命关怀协会副理事长、中国心理卫生协会常务理事),1993年毕业于南开大学哲学系(哲学博士),曾任天津医科大学医学...2018-09-04
-
8月29日上午,山东大学齐鲁医学院党工委侯俊平书记、学生处张青处长、继续教育中心李泉副主任,山东大学深圳研究院王明星副院长、教育培训部刘丽部长和办公室王飞虎主任到我部参观调研。医学部柴金龙书记、区莹副...2018-08-30
-
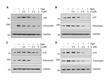
衰老可累及多个脏器,包括肾脏,其中“人老肾先衰”就指出肾脏与衰老伴随的紧密关系。目前我国慢性肾脏病(chronic kidney disease;CKD)患者已超过1亿人,CKD在衰老群体的发病率高出年轻群体3倍以上,CKD的肾组...2018-08-30
-
医学部生物医学工程学院学生: 根据《新产业生物医学工程专项奖学金协议》精神,现将2017-2018年度“新产业生物医学工程专项奖学金”评选工作通知如下: 一、评选对象 全日制2016级生物医学工程专业...2018-08-29
-
2018年7月19日下午,香港大学牙学院院长Thomas Flemming教授率牙学院副院长张顺彬教授、金立坚教授、张成飞教授等一行五人来访深圳大学医学部。深圳大学学科建设与发展办公室主任明海燕教授、医学部副主任许兴智...2018-07-23
-
近日,深圳大学医学部朱卫国教授课题组在国际知名期刊Nucleic Acids Research(影响因子11.561)上以研究长文形式在线发表了题为“Histone H1 acetylation at lysine 85 regulates chromatin condensation and geno...2018-07-14



用户登录
还没有账号?
立即注册